Smile Gallery
See the amazing transformations we've helped our patients achieve. Every smile tells a story of renewed confidence and improved dental health.
As skilled and experienced providers of care, we combine the art and science of dentistry to transform less-than-perfect smiles into ones that are vibrant and beautiful! We offer personalized solutions to help every patient enjoy the benefits of an attractive and healthy smile.

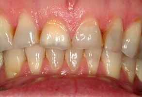
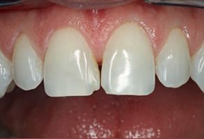
Before

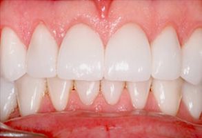
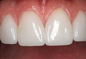
After
Case #1

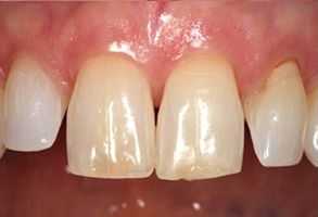
Before

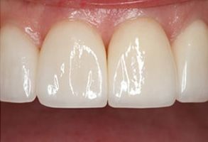
After
Case #2

Before

After
Case #3

Before

After
Case #6

Before

After
Case #7

Before

After
Case #8

Before

After
Case #9